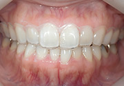
ホワイトニング
ホームホワイトニング
ご家庭でご自身に行っていただくホワイトニング方法です。
空いた時間を利用して気軽に行うことができます。
1日2時間程度の使用で個人差はありますが1か月~1か月半で効果があらわれます。
ホームホワイトニングスケジュール
- カウンセリング

- 口腔全体の検査
虫歯や歯周病の検査、知覚過敏のチェックを行います。
※虫歯や歯周病が見つかった場合、治療後に ホワイトニングを行います。
- トレーの作成
歯型を取り、あなたに合った専用トレーを作ります。
(トレーは1週間程度で出来上がります。)
- 使用方法の説明
トレーの装着方法、ホワイトニングジェルの塗布方法の説明をします。
ホワイトニングの変化を実感していただくために歯の写真撮影と色の測定も行います。
- ホワイトニングの実施
ご自宅にて好きな時間を利用して、約2時間ホワイトニングを実施します。
- 検査及びチェック
2週間に一度、歯の色の確認、症状の確認を行います。個人差はありますが、1ヶ月~1ヶ月半で効果があらわれます。




ホワイトニング料金表
| ●オフィスホワイトニング | ホワイトニング効果を最大限に発揮させるために3回コース(5分×3セット×3日間)を基本とさせていただきます。 又、ホワイトニングが初めてで、お試しでやってみたい方のために1回コースも用意しています。 3回コース: ¥30,000(税別) ※リピーター1回コースは3回コースを受けられた方で、ご自身で色が気になりだしたときに追加でホワイトニングされる時の料金です。 |
|---|---|
| ●ホームホワイトニング | 上下カスタムトレー + ホワイトニングジェル(1か月分) ¥35,000(税別) |
| ●デュアルホワイトニング
|
オフィスホワイトニング3回コース + ホームホワイトニング(ホワイトニングジェル 2週間分) ¥50,000(税別) |
![富山 歯科 | 加積野歯科医院 [富山県:滑川市/魚津市/黒部市]](https://debug.kazumino-dc.jp/common/images/common/logo_kzmn.gif)

